子育て

子育て

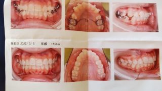
経過観察

《とり》の矯正の経過観察でした。歯の裏に固定用のワイヤーが付いていて、就寝中はマウスピースを付けています。
2
子育て

ビリヤード

《とり》と《いぬ》の希望でビリヤードに行ってきました。初めてのビリヤードでしたが、楽しんでいました。
0
子育て

抗原検査

《いぬ》の学校から電話があり熱はないけど体調が悪いので早退させて良いか聞かれました。喉が痛いらしく、かかりつけの内科は休診なので耳鼻科に行きました。抗原検査で陰性でないと院内に入れないのでまずは検査をしました。陰性だったので診察をして頂きま...
2
子育て

矯正

《いぬ》の矯正歯科の日です。ワイヤーを調整した翌日は痛いのでゼリー飲料で過ごしています。
2
子育て

ガトーショコラ

《いぬ》がガトーショコラを焼いてくれました。
2
子育て

矯正

《いぬ》が上の歯に矯正装置を付けました。ブラケットもワイヤーも白いので目立ちません。ただ、ガム、お餅などは食べれません。《へび》の弟からはお年玉等と一緒にお菓子をもらいました。
2
子育て

経過観察

《とり》の矯正歯科でした。矯正は終わっていますが夜はマウスピースを付け、歯が動かないように歯の裏側にワイヤーを付けています。
2
子育て

ブローチ

《いぬ》がブローチを作ってくれました。スケートの衣装と同じ装飾品で作っているので結構光ります。
2
子育て

小児科

《いぬ》と発熱外来に行きました。雨でしたが屋根付きの広い駐車場でゆったり診察をして頂きました。薬もお支払いも全部持ってきて下さるので楽でした。
2
子育て

エアコン

《とり》と《いぬ》の部屋のエアコンが壊れたので買い換えました。昨年リビングとピアノを置いている部屋のエアコンを買い換えましたがこんなに暑い時期に壊れるなら昨年同時に買い替えれば良かったです。ダイキンのエアコンにしました。
2