子育て

子育て

矯正

《とり》の矯正歯科に行ってきました。マウスピースに慣れてきたので歯に装置を取り付けてもらいました。この状態でマウスピースを装着し、毎週マウスピースを交換していきます。
0
子育て

チーズケーキ

《いぬ》とバスク風チーズケーキを作りました。簡単で美味しいです。最近、兄弟でトランプにはまっているようです。
2
子育て

切手

《とり》が記念切手を買ってストックブックに整理して入れていました。ナゲット用のBBQソースも作ってくれました。
0
子育て

ベルト交換

《とり》の時計のベルトが劣化したので自分で交換していました。《いぬ》と矯正歯科に行ったのでついでにたこ焼きを買いました。
2
子育て

矯正

《とり》のマウスピースが出来上がりました。毎週交換するので2箱持ち帰りました。説明が長くて覚えられませんが、《とり》が全部自分で管理できているので安心です。マウスピースのケースもおしゃれです。
2
子育て

ピザ

夜ご飯はピザパーティーです。いつものように《とり》と《いぬ》がトッピングして作ってくれました。
2
子育て

調律

午前中、ピアノの調律をしていただきました。2時間位かかるので《いぬ》とマフィンを作りました。ピアノのレッスンから帰宅した《とり》が早速弾いていました。
0
子育て

《いぬ》がはまっているもの

《いぬ》がルービックキューブにはまっているので買い足しました。会社ではお菓子を沢山いただきました。
2
子育て

お返し

《たつ》と《とり》でホワイトデーのお返しを買いに行きました。ついでに《とり》の靴がきつくなったので買い換えました。15年間フィッティングをしていただいた売り場にはもう合うサイズがないので他の売り場を紹介していただきました。帰りに肉まんを買っ...
2
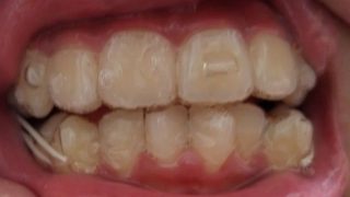
子育て

矯正

《とり》は上の前歯6本だけワイヤーを付けて2カ月経ちました。昨日ワイヤーを外しマウスピース矯正のための歯型や口腔内スキャンをしました。マウスピースができあがるまで約1カ月程かかるので今の歯の状態をキープするためのマウスピースを受け取りに行き...
2