2016-09-10
子育て
矯正
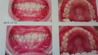
矯正歯科に行きました。二人とも少しずつよくなっています。《とり》は上の前歯四本につけていたワイヤーを外しました。
2016.09.10(土)
2
子育て
ホーム
検索
トップ
サイドバー